Skip Navigation
Skip to contents

대한소화기학회


교육자료

HOME 자료실 교육자료
자료실
[췌담도] 우연히 발견된 췌장의 낭성 종괴
이상수, 이병욱 / 울산의대 서울아산병원 소화기내과 / 2011.07.14

29세 여자가 5개월 전 신우신염이 의심되는 소견으로 복부 초음파 검사와 복부 CT를 시행한 후 췌장 미부에 낭성 종괴가 발견되었다. 추가 검사 없이 지내던 중 최근 입안이 헐고 기운이 없으며 몸살증상이 지속되어 스스로 췌장의 혹 때문이라 생각하고 내원하였다. 특이한 과거력은 없었으며, 신체검진도 정상이었다

혈액검사: WBC 8,600 /μL, Hemoglobin 12.6 g/dL, Platelet 239,000 /μL, Protein/Albumin 7.7/4.4 g/dL, BUN/Cr 8/0.8 mg/dL, Bilirubin (Total/Direct) 0.5/0.1 mg/dL, AST/ALT 16/13 IU/L, Alkaline phosphatase 63 IU/L, GGT 19 IU/L, Amylase 51 U/L, Lipase 20 U/L, CRP 0.07 ng/dL, CEA 1.1 ng/mL, CA 19-9 19.0 μ/mL.

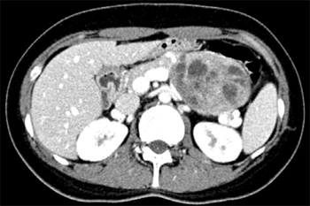
CT 에서 췌장 미부에 내부 낭성 요소를 포함한 비교적 경계가 좋은 9.8 x 7.3 cm 의 종괴가 관찰되었다 (Fig. 1).

 

Figure 1. A single mass with internal cystic component on pancreas tail

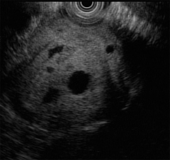
췌장의 낭종성 병변으로 판단하고 자세한 관찰과 필요한 경우 조직검사 혹은 세포흡인검사를 위하여 내시경초음파(EUS)를 시행하였다. 췌장 미부의 echogenic round mass가 관찰되었고 종괴 내부에는 다양한 크기의 낭성 병변이 동반되어 있었다. 낭내에는 격벽이나 벌집 (honeycomb) 양상, 석회나 벽결절 (mural nodule) 등은 관찰되지 않았다 (Fig. 2).

 

Figure 2. Round echogenic mass was noted on the tail of pancreas with multiple variable sized round small cystic lesions.

내시경초음파 유도하 세침흡인(EUS-FNA)을 시행하였다. 흡인된 낭액은 혈성(bloody)이었고 (Fig. 3), 낭액 분석 (cystic fluid analysis) 결과는 CEA 0.5 ng/mL, CA 19-9 128.2 μ/mL, amylase/lipase 42/26 U/L였다.


Figure 3. EUS guided cystic fluid aspiration

췌장 낭성 병변의 감별진단에 EUS-FNA를 통한 낭액분석이 도움된다는 보고들이 있다. 점액성 낭종 (mucinous cystic neoplasm)과 비점액성 낭종 (non-mucinous cystic neoplasm)의 감별에 가장 유용한 검사는 낭액에서 CEA를 검사하는 것이다. CEA의 cut-off value는 연구자마다 차이가 있으나, Brugge 등1의 다기관 연구에서는 192 ng/mL (민감도; 73~85%, 특이도; 83~84%)였다. 일반적으로 수치가 높을수록 점액성 낭종의 가능성이 크다. 낭액의 점도 및 색깔도 감별진단에 도움이 된다. 본 환자의 경우 CEA 값이 0.5 ng/mL 로 매우 낮고, 낭액이 혈성이었고, 점도도 낮아 낭액 분석만으로도 SPT(solid pseudopapillary tumor)를 의심할 수 있었다.

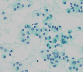
또한 함께 시행한 세포진단 검사에서도 "papillary fragment with fibrovascular core lined by small bland uniform cells"를 보였다 (Fig. 4). 특수 염색 검사에서도 synaptophysin, (weak, +); β-catenin, (nuclear, +); E-cadherin, ( - ); chromogranin, ( - ) 소견을 보여 SPT를 진단 할 수 있었다. 세포진 검사의 정확도는 약 75%이며, 다른 췌장의 신경내분비 종양과의 감별진단을 위해 vimentin, CD10, 그리고 β-catenin 등 특수 염색이 필요하다.



Figure 4. Many clusters of bland round cells with papillary configuration

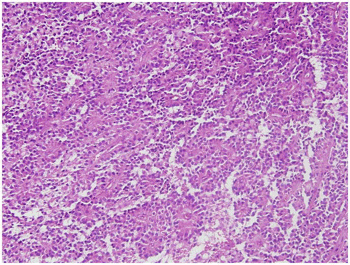
이상의 검사 결과를 종합하여 SPT 의심 소견이고 타장기 전이가 없었으므로 수술적 절제(distal pancreatectomy with splenectomy)를 시행하였다 (Fig. 5). 최종 병리결과에서 SPT로 확진되었다 (Fig. 6).

Figure 5. Cut surface of the enbloc resected specimen; distal pancreatectomy with splenectomy


Figure 6. Characteristic pseudopapillary formations of solid-pseudopapillary tumor

건강 검진 및 영상 검사의 증가로 췌장 낭성 종양으로 진단되는 예가 증가하고 있다. 임상에서 빈번하게 접할 수 있는 낭성 종양으로는 장액성 낭선종 (serous cystadenoma), 점액성 낭선종 (mucinous cystic neoplasm) 및 낭선암종(mucinous cyst adenocarcinoma), 고형성 가성 유두상 종양(solid pseudopapillary tumor), 선관내 유두상 점액성 종양(IPMT)이 있다.

고형성 가성 유두상 종양(SPT)은 대부분 여성에서 발생하며, 평균 호발 연령은 20대이고, 췌장미부에서 흔하다. 임상상은 과거에는 종괴가 만져지는 경우 60%, 통증 24% 정도로 알려졌었다. 최근에는 우연히 진단되는 빈도가 증가하고 있으며 현재는 약 반수에서 증상이 없다. 종괴 자체는 고형 종양이지만 출혈, 괴사 등으로 낭성 변화가 초래되어 낭종처럼 보이기도 한다. 대부분의 종양은 양성이거나 분화도가 좋은 악성이다. 드물게 원격전이를 하기도 하지만 수술적 치료로 대부분 완치가 된다. 전이가 된 경우에도 debulking surgery로 생존율을 높일 수 있다.

1995년부터 2007년까지 국내 한 병원에서 수술로 진단된 SPT 114명을 후향적으로 분석한 연구2에서 여성이 86.9%였고 나이는 평균 36세였다. 39.5%는 증상이 었었고, 36.8%는 복통이나 불편감이 있었다. 114명의 환자 중 26명(22.8%)이 악성 인 solid pseudopapillary carcinoma(SPC)로 진단되었다. 기존에 알려진 연구들에 비해 악성 종양의 빈도는 약간 높았다. 양성 SPT 와 악성 SPC 두 군 간에 임상적으로 큰 차이가 없었고, 수술 전 SPC를 구분할 수 없었다. 결론적으로 SPT는 대부분 양성 종양이지만, 약 20%는 악성이고, 수술 전에 감별할 수 있는 소견이 없기 때문에 정확한 진단 및 치료를 위해 외과적 절제가 필요하다고 생각된다.
현재는 약 반수에서 증상이 없다. 종괴 자체는 고형 종양이지만 출혈, 괴사 등으로 낭성 변화가 초래되어 낭종처럼 보이기도 한다. 대부분의 종양은 양성이거나 분화도가 좋은 악성이다. 드물게 원격전이를 하기도 하지만 수술적 치료로 대부분 완치가 된다. 전이가 된 경우에도 debulking surgery로 생존율을 높일 수 있다.
1995년부터 2007년까지 국내 한 병원에서 수술로 진단된 SPT 114명을 후향적으로 분석한 연구2에서 여성이 86.9%였고 나이는 평균 36세였다. 39.5%는 증상이 었었고, 36.8%는 복통이나 불편감이 있었다. 114명의 환자 중 26명(22.8%)이 악성 인 solid pseudopapillary carcinoma(SPC)로 진단되었다. 기존에 알려진 연구들에 비해 악성 종양의 빈도는 약간 높았다. 양성 SPT 와 악성 SPC 두 군 간에 임상적으로 큰 차이가 없었고, 수술 전 SPC를 구분할 수 없었다. 결론적으로 SPT는 대부분 양성 종양이지만, 약 20%는 악성이고, 수술 전에 감별할 수 있는 소견이 없기 때문에 정확한 진단 및 치료를 위해 외과적 절제가 필요하다고 생각된다.



참고문헌
1. Brugge WR, Lewandrowski K, Lee-Lewandrowski E, et al. Diagnosis of pancreatic cystic neoplasms: a report of the cooperative pancreatic cyst study. Gastroenterology, 2004;126:1330-6
2. Kim CW, Han DJ, Kim J, et al. Solid pseudopapillary tumor of the pancreas: Can malignancy be predicted? Surgery, 2011; 149: 625-34.



(울산의대 서울아산병원 소화기내과 이상수, 이병욱)

TOP


Copyright© The Korean Society of Gastroenterology. All Rights Reserved.

06193 서울특별시 강남구 선릉로86길 31, 305호 (대치동, 롯데골드로즈빌Ⅱ)